Наши работы


Проблема. Отсутствие двух зубов в эстетической зоне.
Решение. Зубные имплантаты вместо отсутствующих зубов.


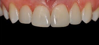
Проблема. Широкие промежутки между зубами и сколы на режущих кромках зубов.
Решение. Эстетическое пломбирование 4 зубов.


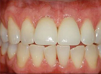
Проблема. Отсутствие двух зубов в эстетической зоне.
Решение. Зубные имплантаты вместо отсутствующих зубов.


Проблема. Удаление коренного зуба.
Решение. Через 3 месяца, после заживления кости, установлен зубной имплантат и сразу же прикреплена заживающая головка.
Через 2,5 месяца, после приживления имплантата, установлена постоянная коронка.


Проблема. На поверхности зубов виден зубной налёт.
Решение. В ходе процедуры с поверхности зубов удаляется зубной налёт с помощью ультразвукового скалера и содоструйного аппарата (Air Flow). В конце процедуры зубы полируются.


Проблема. Кариозные поражения
Решение. Восстановление кариозных поражений композитными пломбами.


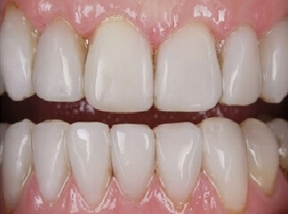
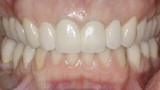
Проблема. Старые, неэстетичные металлокерамические коронки, стёртые зубы, глубокий прикус.
Решение. Проведено протезирование зубов керамическими коронками из диоксида циркония, а также была увеличена высота прикуса.


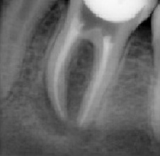
Проблема. Глубокая кариозная полость
Решение. Каналы были очищены, подготовлены к пломбированию, сделан дентальный снимок с пломбировочным материалом.
Запломбированы корневые каналы зуба. Зуб подготовлен к дальнейшему лечению.


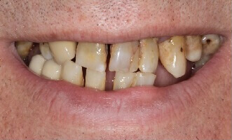
Проблема. Множественные кариозные поражения зубов, высокая степень подвижности зубов
Решение. Из-за плохого стоматологического прогноза оставшиеся зубы были удалены, а в верхнюю и нижнюю челюсти были установлены четыре зубных имплантата. На имплантаты установлены металлокерамические коронки.